Home About Us services contact us Change language
Harari Chocron Clinic - Services

Services

Oral Rehabilitation

Oral rehabilitation is the area of dentistry focused on total dental reconstruction through the use of crowns, dental bridges, implants, or removable prosthetics, with the intent of returning both the physiological and aesthetic function of teeth to the patient.

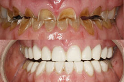
Dental Restoration

Dental restoration is a process designed to restore the function, integrity and morphology of the dental structure. Structural loss normally results from tooth decay and external damage.

Dental Implants

The implanting of teeth is a treatment aimed at replacing the root of the tooth. An implant is surgically inserted into the mandible or maxilla bone, and the artificial tooth is the placed over the implant, giving it a natural appearance.

Endodontics

Endodontics is the branch of dentistry responsible for the treatment of dental pulp diseases, more commonly referred to as root canal therapy. This treatment involves the removal of soft tissue (or pulp) that is found on the innermost part of the tooth. This can either be healthy or infected and, when removed, is replaced with a sealing material.

One of the most characteristic symptoms is spontaneous pain, or a throbbing pain not resulting from any direct stimulation. In this case, the soft tissue is still alive, though inflamed, and the use of painkillers will not resolve this. When the soft tissue is dead, the pain is more localized, resulting in the sensation of larger teeth and making it painful to chew.

Periodontics

Periodontics is the study, diagnosis, prevention, and treatment of gum and other periodontal diseases, for the purpose of promoting and re-establishing good periodontic health. Periodontal disease is caused by bacteria, and affects the gums, bones, and periodontic ligaments. Its progression results in bone loss and consequently leads to the loss of teeth. The causative agent of the disease is dental plaque, which adheres to the teeth. However, it can also occur in cases associated with bad occlusion (or contact between the teeth), hormonal factors, poorly fitting prosthetics and braces, or the use of certain medicines.

Orthadontics

Orthadontics involves the study of craniofacial growth and development, as well as the development of primary (or “baby teeth”) and permanent dentition, along with any abnormalities, preventing, intercepting, and correcting poor occlusion.

There is no suggested minimum age for making your first visit to the orthodontist. It is ideal to plan your first visit around the time that the baby teeth are starting to be replaced by “adult” or permanent teeth. In fact, positive results of orthodontic correction can be achieved at any age.

Aside from aesthetics, another function of orthodontic treatment is to re-establish dental occlusion, which is fundamental for proper chewing and, consequently, proper nutritional and oral health. With the re-establishment of occlusion, problems in breathing, deglutition (swallowing), speech, and mandibular articulation can all be avoided.

Teeth Whitening

Over time, teeth can turn yellow due to the effects of substances such as coffee, wine, and cigarettes. To reclaim their original whiteness we provide a treatment known as teeth whitening. The treatment involves the application of a gel over the outside of the teeth that, after the introduction of a special light, promotes whitening. The application of the light is controlled by a professional and lasts 45 minutes.

Treatment of Bad Breath

We work with the most innovative methods of combating halitosis (bad breath), which can result from a number of causes. With a revolutionary system used to identify bacteria, the Dr. Renato Harari Clinic seeks out the most effective diagnosis and adequate treatment.

First, samples of the tooth, tongue and mucous membranes are sent to a laboratory for microbiological analysis to identify the specific bacterial cause of the oral infection. Once identified, the proper treatment is initiated.

Address:
Harari Chocron Dental Centre
1693 Dufferin Street
Toronto, Ontario, M6E 3N9
Canada

Monday 9:00 am - 6:00 pm - Open
Tuesday 9:00 am - 6:00 pm - Open
Wednesday 9:00 am - 6:00 pm - Open
Thursday 9:00 am - 6:00 pm - Open
Friday 9:00 am - 6:00 pm - Open
Saturday 9:00 am - 6:00 pm - Open
Sunday Sorry, we are closed.
© 2019 Mokompany Web Solutions by Claudio Aguiar. Terms of use